PERIODONTAL FLAP SURGERY

Periodontitis is a disease identified with the gums, jaw bone and teeth in the oral cavity. Aggravated type of gum disease prompts periodontal disease. It begins with the building up of calculus, plaque and tartar on your teeth and gums, which can result from inappropriate oral cleanliness. Because of the plaque and calculus, the gums can lose connection to the hidden bone and the supporting tissues can be affected

Microorganisms in the calculus and plaque discharge chemicals that break up the bone around the tooth structure and underlying bone making a loss of connection of the gums to the bone. This results in loosening of the teeth and periodontal pocket arrangement between the gums, and the tooth structure. Periodontal pockets are the perfect zones for the plaque to aggregate and develop.

WHEN DOES ONE NEED PERIODONTAL FLAP SURGERY?

Generalized or localized bone loss because of Periodontitis or Periodontal sickness is the essential reason behind bony gum surgery. Flap Surgery is shown to treat the periodontal contamination and smoothen or right the hard deformities clearing the necrosed tissue.

Gum infection can be painless, so it is critical to know about any of the following symptoms:

Conventional Gum Surgery

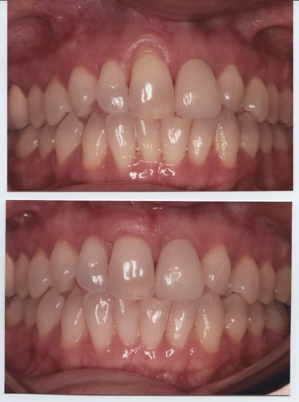
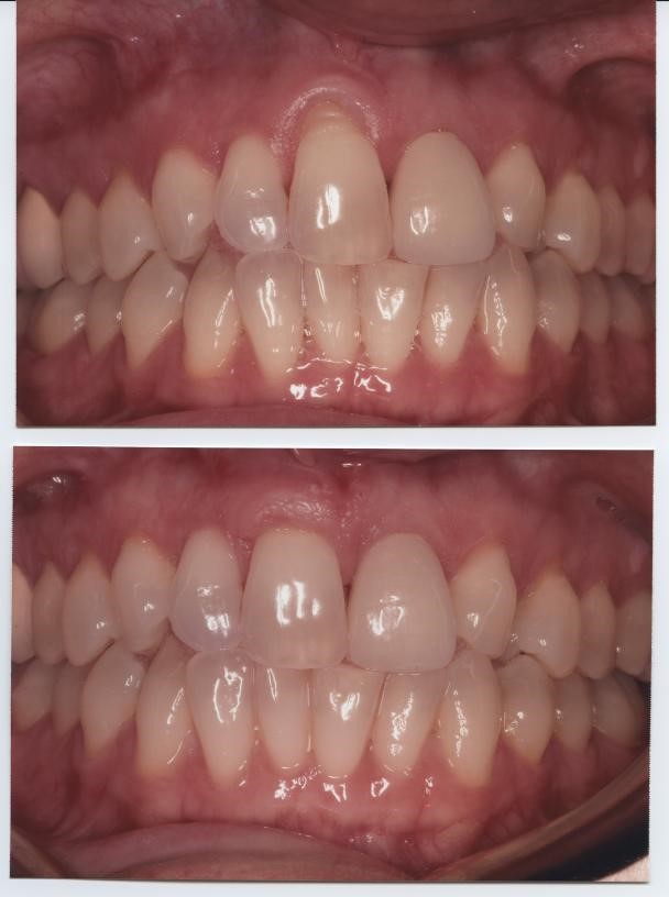
Conventional gum Surgery, likewise called “flap surgery,” includes delicately lifting the gum tissue with the goal that periodontists. They can clean the outside of teeth, expel infected tissue, and encourage the region to heal healthily. Flap surgery is regularly prescribed for patients with moderate to serious periodontal bone loss and can be useful when periodontists need to examine the hidden tissues all the more cautiously.

The procedure starts like some other oral surgery, with the whole zone being desensitized with a nearby anaesthetic. Next, a little cut is made along the gum line to permit the doctor to lift the tissue and access the area under the gingival pocket. After the teeth are perfect, the flap will be cut down and the entry point will be shut. Recovery from flap surgery, as a rule, takes a couple of days, and the doctor prescribes adhering to delicate foods like soup and gelatin until the region has healed.

LASER ASSISTED PERIODONTAL FLAP SURGERY

The laser flap surgery is an effective treatment strategy for improving general dental health with less pain, less dying, less growing, less tissue evacuation, and less recuperation time than conventional gum surgery or periodontal treatment. You don’t need to stress over bleeding, stitches or post-treatment disease because your gums haven’t been cut. You will also appreciate fewer follow-up visits and less time in the dental specialist seat.
Laser flap surgery is a single sitting easy, bloodless and stitchless technique which is truly comfortable to the patient when contrasted with the customary conventional periodontal flap surgeries.

Following are the advantages of laser gum treatment:-

WHAT IS THE PROCEDURE OF PERIODONTAL FLAP SURGERY?

Flap Surgery is normally done under local sedation, in some cases accompanied by oral anti-anxiety meds; then again, it might be performed under intravenous conscious sedation. After sedation has produced results, a little entry point is made to isolate the gums from the teeth. The external gum tissue is delicately collapsed back to offer admittance to the roots and the supporting tendon and bone tissue.
Next, the inflamed gum tissue can be eliminated, and the tooth roots can be cleaned; if necessary, the zone may likewise be treated with antibiotics or different prescriptions. Bone imperfections can be fixed with joining material, and appropriate recovery of the periodontal tissues can be energized by physical (obstruction films) and substance (development factors) techniques.
Performed by an accomplished hand, cutting edge fold medical procedure has an astounding history and offers entrenched advantages. It’s regularly the treatment of decision for calming periodontal ailment and assisting with keeping up your oral wellbeing — and safeguards your teeth.

POST TREATMENT CARES FOR PERIODONTAL FLAP SURGERY:

Your recovery relies upon how extreme your ailment is, your general wellbeing, and the sort of technique you had. Adhere to your dental specialist’s guidelines carefully.
Normally, you can hope to have some minor draining and uneasiness after any sort of dental medical procedure. You ought to have the option to continue numerous typical exercises about a day after your procedure.
Smoking can interfere with how your body recuperates after a medical procedure. Attempt to avoid this chronic smoking habit as far as might be feasible after your periodontal strategy. Here are a few hints to assist you with maintaining a strategic distance from smoking.

Numerous specialists suggest eating delicate foods for possibly 14 days after the system.

FREQUENTLY ASKED QUESTIONS:

1. Is flap surgery a permanent cure?

Much the same as constant sicknesses, for example, diabetes, asthma, and hypertension, periodontal flap surgery medical procedure has no lasting fix. Even after the medical procedure, you need to go for normal simple tests.

2. How long does it take for gums to mend after periodontal surgery?

The healing cycle is frequently brisk; taking 1 to about fourteen days for the mouth to recover completely yet may take longer. Individuals can assume control over-the-counter (OTC) torment relievers or physician endorsed meds to help deal with any distress.

3. Is laser periodontal treatment effective?

What we may not think about is oral care. Be that as it may, lasers have become an incredible new device in dentistry, compelling in treating gum illness. Even though laser periodontal treatment is as yet a general innovation, it shows promising outcomes for qualified patients. Periodontist treats gum sickness and tooth decay(periodontal disease) with an assortment of dental medicines like scaling or cleaning of teeth, profound cleaning, periodontal flap surgery [gum surgery], laser helped new connection strategy, laser fold medical procedure, bone joining procedures, guided tissue recovery [GTR] and progressively most recent modalities like concentrated growth factors & dental stem cell procedures

With access to

24 Hour

Emergency

Assistance

A small river named Duden flows by their place and supplies it with the necessary regavelialia. It is a paradise.

Service Recipient Says

Oxmox advised her not to do so, because there were thousands of bad Commas, wild Question Marks and devious.

Kolis Muller NY Citizen

Oxmox advised her not to do so, because there were thousands of bad Commas, wild Question Marks and devious.

Kolis Muller NY Citizen

Oxmox advised her not to do so, because there were thousands of bad Commas, wild Question Marks and devious.

Kolis Muller NY Citizen