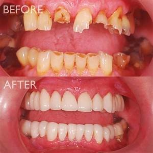
FULL MOUTH REHABILITATION

Full mouth rehabilitation procedure is done for versatile teeth, exhausted or attritted teeth, trouble in biting, an improper bite, jaw joint issues, or those needing total teeth makeover, full-mouth restoration

WHEN DOES ONE NEED FULL MOUTH REHABILITATION?

Smiles Damaged by Trauma: If you encountered trauma to your teeth or jaw, you may require extensive dental work to re-establish your smile. Trauma may result from a car accident, a sporting accident, a fall, or violence. Depending upon the level of harm, you may require other reconstructive work by a plastic specialist first.

Smiles Damaged by Decay and Erosion: Our teeth are strong against many kinds of injury, yet they are generally powerless against assaults by acids. Shockingly, a large number of the foods and beverages we consume every day are stacked with acid. Individuals who routinely consume exceptionally acidic beverages like soft drinks, caffeinated drinks, sports beverages are probably going to encounter broad harm all through the mouth. This can debilitate teeth so they begin to wear out, chip, and break.

Smiles Harmed by a Bad Bite:Our teeth are together in a healthy manner that lets your jaw muscles relax. At the point when you chew, your teeth should reach. This is acceptable because our teeth are sufficiently hard to wear each other out if they reach.

PROCEDURE OF FULL MOUTH REHABILITATION:

Each patient with extraordinary tooth wear has unique treatment needs, and these necessities may not be tended to explicitly. The overall guidelines for the treatment of these patients incorporate the accompanying:

POST TREATMENT CARES FOR FULL MOUTH REHABILITATION:

At the point when the bite is adjusted or the postion of the teeth is transformed it takes a few days for the “brain” to perceive the new situation of your teeth or their thickness as typical. If you keep on identifying any high spots or issues with your problems, call us so we can plan an alteration arrangement.

It’s entirely expected to encounter some hot, cold, and pressure sensitivity. Eliminating tooth structure and arrangement of new materials may bring about a time of modification. Your gums may likewise be sore for a few days. Flush three times each day with warm salt water (a tsp. of salt in some warm water, wash spit) to diminish agony and growing. Mild Pain medicine should facilitate your distress during the change time frame.

Every day plaque evacuation is basic for the long term success of your dental work. Keep up an ordinary oral cleanliness course. Day by day brushing and flossing is an unquestionable requirement. Standard cleaning arrangements in our office are significant.

FREQUENTLY ASKED QUESTIONS:

1. How long does full mouth rehabilitation take?

The length and size of your full mouth restoration will rely upon how extreme your condition is, usually 1week to 3months.

2. Can you request to have every one of your teeth eliminated?

Some of the time everything your teeth will require to be eliminated if they are in a terrible condition, as well as if keeping up dental cleanliness is an issue for you. Some of the time just a couple of teeth should be eliminated. If tooth extraction is proper, you have to think about your alternatives for supplanting the missing teeth.

3. What are the advantages of full mouth rehabilitation?

Improved Aesthetics, functioning and overall good health of the teeth and jaws.

4. Will it be painful?

Patients might experience slight pain and discomfort as it is more extensive procedure. The dentist take cares to make you much comfortable with sedatives and local anaesthetics.

With access to

24 Hour

Emergency

Assistance

A small river named Duden flows by their place and supplies it with the necessary regavelialia. It is a paradise.

Service Recipient Says

Oxmox advised her not to do so, because there were thousands of bad Commas, wild Question Marks and devious.

Kolis Muller NY Citizen

Oxmox advised her not to do so, because there were thousands of bad Commas, wild Question Marks and devious.

Kolis Muller NY Citizen

Oxmox advised her not to do so, because there were thousands of bad Commas, wild Question Marks and devious.

Kolis Muller NY Citizen