INTERNAL BLEACHING:

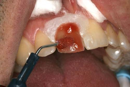
Internal bleaching is a method for brightening a tooth from the back to front. Initial, a root canal is performed to expel any pulp that is infected. At this point, sodium perborate paste is put within the tooth. This material responds with stains and breaks down their particles, causing the teeth to seem whiter. After a root canal, your tooth is fixed to prevent further damage.

WHEN DOES ONE NEED INTERNAL BLEACHING?

  • Trauma & intensive care $59
  • Aged Care $29
  • Community Services $25
  • Diagnosis & Investigation $48
  • Medical & Surgical $82
  • Mental Health $74
  • Rehabitation $24
  • Specialised Support Service $19
  • Trauma & intensive care $59
  • Aged Care $29
  • Community Services $25
  • Diagnosis & Investigation $48
  • Medical & Surgical $82
  • Mental Health $74
  • Rehabitation $24
  • Specialised Support Service $19

Imagine a scenario in which you’ve attempted teeth brightening, and that one tooth doesn’t change hues. At that point, you may require internal bleaching.

WHAT IS THE PROCEDURE OF INTERNAL BLEACHING?

Imagine a scenario in which you’ve attempted teeth brightening, and that one tooth doesn’t change hues. At that point, you may require internal bleaching.

The fading process differs significantly if the tooth is stained in light of an earlier root canal treatment. Also, a patient might be sent home with bleaching trays to additionally improve whitening.

POST TREATMENT CARES FOR INTERNAL BLEACHING:

How Is Internal Bleaching Better Than Other Whitening Treatments?

Whitening treatments that act on the external layer of the enamel, for example, toothpaste, mouth rinses and teeth whitening gels, just treat the outside of the teeth.

What Should I Do Following Internal Bleaching Treatment?

By avoiding food and lifestyle choices that add to staining however much as could reasonably be expected. You can prevent instances of decay and harm in healthy teeth by rehearsing great oral health, for example, standard brushing and flossing.

FREQUENTLY ASKED QUESTIONS

1. How long inner bleach lasts?

Ordinarily, this arrangement is permitted to stay inside the tooth for a time of about fourteen days to acquire the greatest outcomes, after which you'll come back to the workplace for a test to perceive how things advanced. The bleaching process differs significantly if the tooth is stained due to an earlier root canal treatment.

Is internal bleaching safe for teeth?

Without a doubt, the procedures and things used to light up or bleach teeth inside are safe.

Is internal bleaching permanent?

An internal bleaching can leave an influenced tooth a few shades more white, its outcomes are not permanent. It's possible to stain the treated tooth, and other teeth, by eating and drinking foods that cause stains, for example-coffee, tea, and red wine.

4. How long does it take for internal tooth bleaching to work?

Now and again the internal bleaching takes pretty much 30 minutes for the specialist to carry out its responsibility and at that equivalent arrangement, a lasting white filling is put in the tooth access. Different occasions, better outcomes can be accomplished by setting the fading operator inside the tooth and putting a temporary seal on the access hole.

For more information about our internal bleaching teeth whitening services
in Green Park Dental Hospital, contact us to schedule a consultation.

With access to

24 Hour

Emergency

Assistance

A small river named Duden flows by their place and supplies it with the necessary regavelialia. It is a paradise.

Service Recipient Says

Oxmox advised her not to do so, because there were thousands of bad Commas, wild Question Marks and devious.

Kolis Muller NY Citizen

Oxmox advised her not to do so, because there were thousands of bad Commas, wild Question Marks and devious.

Kolis Muller NY Citizen

Oxmox advised her not to do so, because there were thousands of bad Commas, wild Question Marks and devious.

Kolis Muller NY Citizen