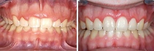
GINGIVECTOMY
GINGIVECTOMY is the surgical removal of gingiva (i.e., gum tissue). A Gingivectomy is necessary when the gums sink down exposing the roots of the tooth away from the teeth making profound pockets. The pockets make it difficult to clean away plaque. Gingivectomy is generally done before gum disease has harmed the bone supporting the teeth
WHEN DOES ONE NEED GINGIVECTOMY?
A dental specialist may suggest gingivectomy if you have gum recession from:
- Aging
- gum diseases, similar to gum disease
- Bacterial diseases
- gum injury
WHAT IS THE PROCEDURE OF GINGIVECTOMY?
Here’s the way the procedure works:
1. Your dental specialist injects local anaesthetic into the gums to numb the area.
2. Surgical blade or laser device to remove bits of gum tissue. This is called soft tissue incision.
3. During the method, your dental specialist will probably keep an suction device in your mouth to eliminate abundance salivation.
4. Once the tissue has been removed, your dental specialist will probably utilize a laser apparatus or without laser like conventional methods to disintegrate the remaining tissue and shape the gum line and match the normal color of the gum.
5. Your dentist puts a soft putty-like substance on the zone to ensure your gums while they heal
POST TREATMENT CARE GINGIVECTOMY
ORAL HYGIENE: Brushing and oral cleanliness strategies ought to be done as regular in every single untreated territory. In uncovered, worked zones limit your oral cleanliness to brushing utilizing a delicate bristled toothbrush. In zones secured by periodontal dressing, brush just the biting surfaces of teeth
EATING AND DRINKING: Don’t attempt to eat until all the sedation (numbness) has worn off. High protein foods and fluids are needed for 3-5 days following a medical procedure. Semi-strong foods might be eaten as long as this might be done serenely. Dodge hot, pungent, acidic, hot, or freezing foods or fluids are avoided. Likewise, stay away from nuts, chips, or other crunchy or sinewy foods that may become sticked between your teeth. No smoking or drinking through a straw and no carbonated or mixed refreshments for 48 hours following a medical procedure
GINGIVOPLASTY:
GINGIVOPLASTY is the surgical reshaping of gum tissue around the teeth. It is frequently is done basically to make gums look better. They may have an unusual shape or may not be framed typically. Gingivoplasty reshapes the gums to make them look increasingly normal. It frequently is done alone, however, should be possible during or after a gingivectomy. Gingivoplasty additionally also can be done alongside a gum line. With both gingivoplasty and gingivectomy, most periodontal treatment is genuinely basic and direct.
WHAT IS THE PROCEDURE OF GINGIVOPLASTY?
A gingivoplasty is one sitting procedure done by periodontist.
Procedure of gingivoplasty:
- Your teeth will be altogether cleaned to eliminate any outstanding plaque.
- Your periodontist utilizes a sedative to numb the gums.
- A periodontist will eliminate gum tissue to shape it varying over your teeth.
- Your periodontist will put a dressing over the gum tissue.
To treat patients with a minor gummy smile, a few specialists may utilize a gingivoplasty in blend with botulinum toxin type A (Botox, Dysport) injections. These injections are typically directed to the side of every nostril. Botox will restrict the development of muscles that pull up the lip. The impact assists with bringing down the upper lip when grinning, which can cause the grin to show up less “gummy.” This is particularly more powerful when the root of a sticky grin comes from a hyper-versatile upper lip that moves fundamentally high when one smiles.
POST TREATMENT CARE GINGIVECTOM
A periodontist will ordinarily prescribe a clean mouthwash to prevent infection post-medical procedure. You have to avoid tobacco items.
Your periodontist will likewise prescribe some dietary changes to decrease hazards for gum injury .This incorporates:
- choosing delicate foods, for example, pureed potatoes and bananas
- eating flat foods that decrease hazards for sickness and aggravation, for example, fruit purée
- avoiding crunchy foods that could harm the gums
- Your periodontist will put a dressing over the gum tissue.
It might take a little while for your gums to completely mend after a gingivoplasty.
FREQUENTLY ASKED QUESTIONS: How painful is a Gingivectomy?
Does a Gingivectomy Hurt? Most periodontal procedures aren’t painful, however, you may feel some distress following your gingivectomy procedure. Draining gums are likewise typical for the main day or two. Likewise, with any surgery, there is consistently a minor danger of contamination.
Is a Gingivectomy a high-risk procedure?
Gingivectomy is a minimal cost, the low-risk procedure for dealing with harmed gum tissue or to change the presence of your grin. It doesn’t take long to recoup and the result is good.
Do gums develop back after Gingivectomy?
Can Gums Develop Back after Medical procedure? Gums are developing tissues, which implies they will develop back after some time. While your gums may develop back, it doesn’t mean it will be as serious as before the medical procedure.
Is Gingivectomy permanent?
There are a few different ways to address a sticky grin and a corrective dental medical procedure strategy is known as gingivectomy is one of those. The medical procedure gives a good results as long as it is performed well.
With access to
24 Hour
Emergency
Assistance
A small river named Duden flows by their place and supplies it with the necessary regavelialia. It is a paradise.
Service Recipient Says
Oxmox advised her not to do so, because there were thousands of bad Commas, wild Question Marks and devious.
Kolis Muller NY Citizen
Oxmox advised her not to do so, because there were thousands of bad Commas, wild Question Marks and devious.
Kolis Muller NY Citizen
Oxmox advised her not to do so, because there were thousands of bad Commas, wild Question Marks and devious.
Kolis Muller NY Citizen