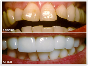
DENTAL VENEERS

Dental veneers are slim, tooth-coloured shells that are connected to the front surface of teeth to improve their appearance. They’re regularly produced using porcelain or gum composite materials and permanently attached to your teeth.

Veneers can be utilized to treat various teeth shape concerns like chipped, broken, stained, or smaller-than-normal teeth and also small gaps between the front teeth.

A few people may just get one veneer on account of a broken or chipped tooth, yet many get between six to eight veneers to make an even, balanced smile. The top front eight teeth are the most regularly applied veneers.

WHEN DOES ONE NEED DENTAL VENEERS?

Veneers are regularly used to fix:
WHAT IS THE PROCEDURE OF DENTAL VENEERS?

The accompanying sections will outline the cycle for each sort below.

Porcelain Veneers

To fit porcelain Veneers, a dental specialist will initially eliminate some enamel and take an impression of the teeth to make a mold.

After this underlying visit, they will send the mold to a dental lab that creates the exclusively fit porcelain Veneers. The dental specialist may put temporary acrylic or composite Veneer on the teeth till the permanent porcelain veneer is ready as it might take 2or3days.

During the next appointment, the dental specialist will try the permanent veneers fitting,color,shape and will make any modifications if necessary. Then dentist will bond the veneer to the teeth surface using the resin cement.

Resin-based composite veneers

To fit Resin-based composite veneers, the dental specialist will begin by cleaning, reshaping, and setting up the teeth. After they set up the teeth, they will bond and shape the composite material, modifying the color with the veneers that they look normal in the individual’s mouth.

At that point, the dental specialist will utilize light to dry and solidify the composite material. When the veneer has solidified, the dental specialist will smooth and clean them with the goal that they closely resemble genuine teeth.

Maintenance guidelines of dental veneers:

Practice every day oral cleanliness: You should, consequently brush and floss veneered teeth similarly as you would same with other tooth.

Avoid excessive biting or chewing:Stop trying to open hard-shell nuts with your teeth or biting on bones, pencils and other hard articles that could break a veneer.

Use a bite guard for clenching habits: Grinding their teeth (a condition called bruxism) can likewise put unnecessary friction on their veneer. Wear the Nightguard appliance if the person has bruxism habit as it helps to avoid excess forces on veneers.

Limit foods and beverages that cause recoloring: Tea, coffee, wine, and comparative substances can leave teeth recolored and grimy. Even though your veneers won’t commonly stain, the normal teeth but sometimes they do so but very rare but if you maintain veneers color of the teeth can regain back.

TYPES OF DENTAL VENEERS:

Dental veneers are thin films that hold directly to the front of the tooth to improve its appearance. Veneers are a magnificent answer for various minor aesthetic issues.

The purpose behind veneers is to give you a lovely smile by re-establishing teeth that are worn, stained, chipped, broken or somewhat skewed, or even to fill a gap between two teeth.

There are two main types of veneers:
Composite veneers

Composite veneers are fabricated right on the premises by the dentist and applied directly to the teeth. One appointment is required for this system, which will bring back your amazing smile.

Porcelain veneers

Porcelain veneers fill a similar need as composite veneers. However, they are made in a Laboratory centre. Porcelain veneers are they are made to quantify and cemented onto the tooth surface. The full system requires two arrangements: one to set up the tooth and take the feeling that will serve to make the veneer in the lab; and one moment to solidify the veneer onto the tooth.

Customized readymade porcelain veneers are also available which reduce the time and instant results.

What are the advantages of dental veneers?

The greatest advantage to veneers is improving the presence of your teeth, giving you a more splendid and all the more even grin. Dental veneers are regularly used to treat the accompanying cosmetic events

POST TREATMENT CARE OF DENTAL VENEERS:

After the placement of Veneers, the dentist might need to check them in a subsequent arrangement. During this, they will hope to ensure that the veneers have remained set up and are agreeable for the wearer.

All things considered, because veneers may recolor after some time, an individual might need to dodge espresso, tea, and red wine, just as different things that can influence recolored teeth, to make them last more.

The dental specialist may likewise advise against:

Additionally, an individual can in any case create cavities even though they have veneers, so it is critical to rehearse great oral cleanliness, including brushing the teeth two times a day and flossing day by day. Since such cases we ask the patient especially veneers ask to visit the dental clinic every six months to have overall check up like professional cleaning and flossing between the veneers.

FREQUENTLY ASKED QUESTIONS:

1. Do we get veneers on each tooth?

You can either get halfway (they don't cover your whole tooth) or full (they spread your whole tooth) veneers. Each case is extraordinary, you can either have the porcelain put directly on the head of your teeth, in light of your needs, or at the extremely most, and you’ll need.

2. Are veneers high support?

With the best possible consideration, veneers can last somewhere in the range of 10 and 15 years or more. Besides brushing, flossing, and staying aware of your standard dental meetings with your Green Park dental specialist, veneers require no uncommon support

3. How long do tooth veneers last?

By and large, porcelain veneers will in general keep going for around 10 years; however, they can keep going for much longer with the correct upkeep with proper maintenance.

4. Do veneers feel like genuine teeth?

The appropriate response is that porcelain veneers, when performed effectively, should feel normal in your mouth. They appear as your natural teeth.

With access to

24 Hour

Emergency

Assistance

A small river named Duden flows by their place and supplies it with the necessary regavelialia. It is a paradise.

Service Recipient Says

Oxmox advised her not to do so, because there were thousands of bad Commas, wild Question Marks and devious.

Kolis Muller NY Citizen

Oxmox advised her not to do so, because there were thousands of bad Commas, wild Question Marks and devious.

Kolis Muller NY Citizen

Oxmox advised her not to do so, because there were thousands of bad Commas, wild Question Marks and devious.

Kolis Muller NY Citizen