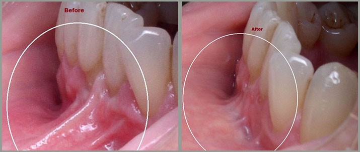
FRENECTOMY

Frenectomy is a simple oral procedure that removes the unwanted frenum attachment in the mouth. A frenum is a strong connection between two tissues discovered within the cheeks and lips and inside the mouth and gums. There are two sorts of a frenum in the mouth, the labial frenum and the lingual frenum.

WHEN DOES ONE NEED FRENECTOMY?

If the person is experiencing speech, eating, or orthodontic problems.

WHAT IS THE PROCEDURE OF FRENECTOMY?

1. The individual getting the frenectomy surgery should be lying with face up. You may need to hold your kid during the method.
2. Your specialist may apply an effective sedative to sedate or to numb.
3. Your specialist will rapidly clip the frenum utilizing a surgical blade, careful scissors, or a closing up instrument.
4. If the lip tie is serious or more confused, it might require a couple of joins to close the cut.
5. The whole system will probably take 15 minutes or less from beginning to end.

Laser frenectomy

A laser frenectomy is fundamentally a similar strategy as a customary oral frenectomy. The main contrast is that the strategy utilizes a laser, which limits the danger of disease and blood misfortune.

Advantages of Frenectomy:

POST TREATMENT CARE FOR FRENECTOMY:

Pain
Unfortunately, most oral surgery is joined by some level of uneasiness. If you don’t have hypersensitivity to non-steroidal anti-inflammatory like Ibuprofen (Motrin, Advil) we prescribe taking this before the local sedative wearing off. If pain medicine is recommended, you may exchange this with Ibuprofen. Initially, take Ibuprofen then 3 hours after the fact take the pain prescription if the pain is extreme. If that distress is tolerable, you may interchange Ibuprofen and Tylenol the initial 24 hours Uneasiness should subside down every day. If not, kindly call our clinic.

Maintain a strategic distance from vivacious washing, sucking on the injury, spitting, utilizing a straw, and practicing for 48 hours after the system to help prevent distress.

Diet
After General sedative or I.V. sedation, start with fluid diet. While numb, patients ought to dodge hot fluids or foods. Patients may have fruit purée, pudding, or jelly. When deadness wears off patients can advance to strong foods, biting endlessly from the careful locales.

Oral Hygiene
The most ideal approach to prevent disease and guarantee to recuperate is to keep your mouth clean. Clean your mouth altogether after every feast starting the day after a medical procedure. Utilize a delicate fibres toothbrush and toothpaste after suppers and at sleep time. Should draining resume after brushing, rehash the utilization of cloth as portrayed previously. Try not to wash your mouth the day of surgery.

Activity
For the initial 12 to 24 hours you should rest and unwind with negligible action. After the initial 12 to 24 hours, you may continue movement as endured.

Healing
Bad breath is normal and will vanish as mending happens. A few days following a medical procedure, white, conceivable hard tissue might be found in the careful site. This implies ordinary, mending tissue. Complete recuperating of the extraction site may take a little while.

Stitches/Sutures
Stitches will resort or drop out all alone. It is typical for a stitch to come out upon the arrival of medical procedures. If that draining happens because the stitches have dropped out, delicately put focus outwardly of your lip. If under the tongue, utilize the cloth that is given

Bleeding
Bleeding may proceed for a few hours after a medical procedure. Rest unobtrusively with your head raised. Draining ought to consistently be assessed by taking a gander at the careful site. Pink or blood-touched spit might be seen for 2-3 days following the medical procedure and doesn’t demonstrate an issue.

Swelling
Swelling is the body’s typical response to medical procedure and mending. Swelling may not get obvious until the day following a medical procedure and may not arrive at its top for 2-3 days.

The growth might be limited by the prompt utilization of ice packs. Apply the ice packs to the outside of the face 20 minutes on and afterward 20 minutes off while wakeful for the initial 24 hours.

FREQUENTLY ASKED QUESTIONS:

Can a Frenectomy close a gap?

In this gap that this hole doesn't close normally, it can frequently be shut with supports. If the teeth begin to frame a hole once more, resulting in shutting the hole with supports, at that point a frenectomy of the maxillary labial frenum may be required on the off chance that it is esteemed to be the explanation behind the gap.

How long is recovery from Frenectomy?

Bad breath is normal and will vanish as healing happens. A few days following a medical procedure, white, conceivable hard tissue might be found in the careful site. This connotes ordinary, mending tissue. Complete recovery of the extraction site may take a little while.

What can I be able to eat after Frenectomy?

EATING AND DRINKING: Don't attempt to eat until all the sedation (numbness) has worn off. Your first dinner ought to be delicate. Maintain a strategic distance from pungent, acidic, hot, or freezing foods or fluids. Additionally, stay away from nuts, chips, popcorn, hard bread, or other crunchy or stringy foods that may become gotten between your teeth.

Will a Frenectomy change your smile?

A frenectomy can improve your smile. The frenum is a muscle attachment from the lip muscles. Delivering the frenum with a frenectomy permits the lip to move unreservedly and will probably improve your smile.

With access to

24 Hour

Emergency

Assistance

A small river named Duden flows by their place and supplies it with the necessary regavelialia. It is a paradise.

Service Recipient Says

Oxmox advised her not to do so, because there were thousands of bad Commas, wild Question Marks and devious.

Kolis Muller NY Citizen

Oxmox advised her not to do so, because there were thousands of bad Commas, wild Question Marks and devious.

Kolis Muller NY Citizen

Oxmox advised her not to do so, because there were thousands of bad Commas, wild Question Marks and devious.

Kolis Muller NY Citizen