BRUXISM ORAL APPLIANCE:

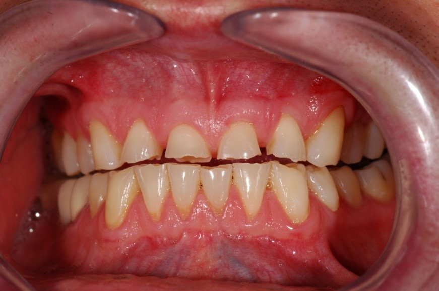
Bruxism refers to a Para oral functional movement which happens in many people sooner or later in their lives. The grinding of the teeth and the clenching of the jaw are the two principles of this condition, which can happen either during the day or around night.

Bruxism causes the majority of its harm during sleeping hours. The clenching and grinding which goes with bruxism are symptomatic of a malfunctioning chewing reflex, which is killed in non-sufferers when sleeping. For sufferers, profound rest or even sleeping , cause the reflex nerve control focus in the head, and the reflex pathways to get dynamic.

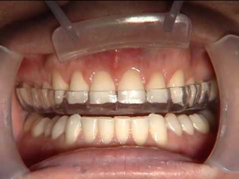
Night Guards:

Mouth guards – An acrylic mouth guard can be structured from tooth impressions to limit the abrasive activity of tooth surfaces during ordinary sleep. Mouth guards ought to be worn on the long term to help prevent tooth harm, harm to the temporomandibular joint and help to balance out the impediment.

NTI-TSS device (Nociceptive Trigeminal Inhibition Device ) This device is fitted by a health professional and just covers the front teeth or just permits the front teeth to contact the machine. This appliance is novel in that it keeps the muscles from contracting since it won’t permit the teeth to come in contact accordingly keeping the muscles from holding the teeth together. The objective of the NTI-TSS(Tension Suppression System) is to prevent the crushing of the back molars by constraining the withdrawal of the temporalis muscle.

FREQUENTLY ASKED QUESTIONS:

How would you stop daytime bruxism?

Train yourself not to clench or crush your teeth. If you notice that you grip or pound during the day, position the tip of your tongue between your teeth. Loosen up your jaw muscles around evening time by holding a warm washcloth against your cheek before your ear lobe.

Is bruxism serious?

If you have pain in your mouth, jaw, or neck from radiating to your teeth, you should meet your physician or dental specialist. Or else bruxism can spoil your oral and rest health, and a health expert can help to prevent more damage by this habit,

What does bruxism pain feel like?

Jaw pain can be from the muscles or joints and can feel over-worn, exhausted, firm, or pulsating. Cerebral pains can be toward the beginning of the day or night, consistent or fluctuating, and can extend from a slight dull agony to a serious headache. Cheeks can feel worn or sore when biting.

With access to

24 Hour

Emergency

Assistance

A small river named Duden flows by their place and supplies it with the necessary regavelialia. It is a paradise.

Service Recipient Says

Oxmox advised her not to do so, because there were thousands of bad Commas, wild Question Marks and devious.

Kolis Muller NY Citizen

Oxmox advised her not to do so, because there were thousands of bad Commas, wild Question Marks and devious.

Kolis Muller NY Citizen

Oxmox advised her not to do so, because there were thousands of bad Commas, wild Question Marks and devious.

Kolis Muller NY Citizen