What Are Dental Implants?
Dental implants are the most advanced and natural-looking solution for replacing missing teeth. Designed to function just like real teeth, dental implants restore your smile, confidence, and chewing ability with long-lasting results.
A dental implant is a small titanium post that is carefully placed into the jawbone beneath the gums to act as an artificial tooth root. Once the implant securely integrates with the bone, a custom-made crown, bridge, or denture is attached to create a strong, stable, and natural-looking replacement tooth.
Made from high-quality sterile titanium, dental implants are highly durable, biocompatible, and safe for long-term use. They are designed to blend seamlessly with your natural teeth, offering exceptional comfort, strength, and aesthetics.
Dental implants can be used to replace a single missing tooth, multiple teeth, or even a full set of teeth. Advanced implant surfaces and modern digital implant technology help improve stability, healing, and long-term success rates.
At Green Park Dental Hospital, we provide personalized dental implant treatments using advanced technology and precision planning to ensure safety, performed with minimal discomfort under local anesthesia , and beautiful smile restoration.
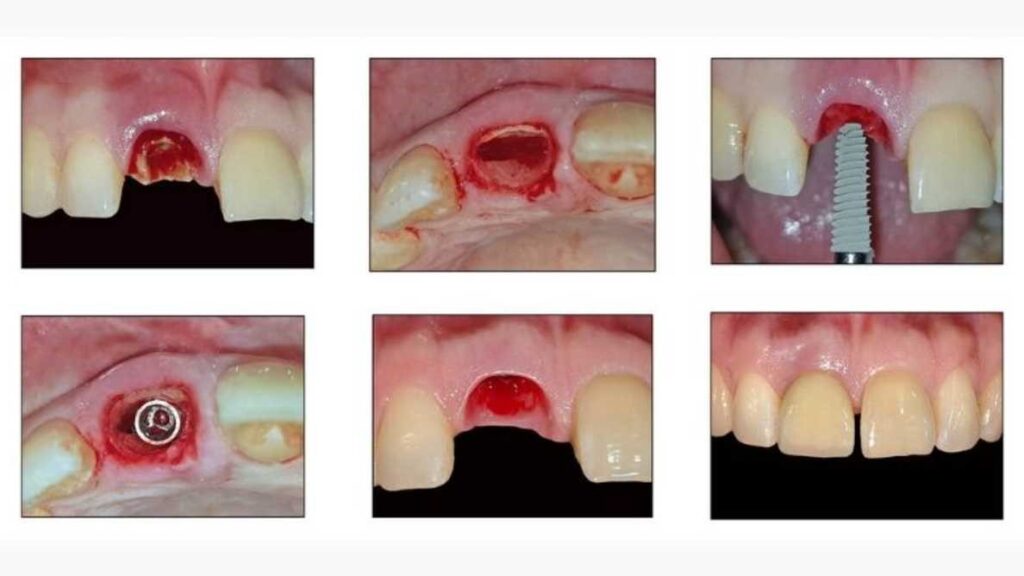
Immediate Implant Placement
Immediate implant placement is an advanced procedure where a dental implant is placed immediately after tooth extraction during the same visit. This modern treatment helps restore your smile quickly while preserving the natural bone and gum structure.
Benefits of Immediate Implant Placement
- Faster smile restoration
- Reduced treatment time
- Preserves jawbone and gums
- Minimally invasive procedure
- Fewer dental visits
- Natural-looking results
- Improved comfort and confidence
- Support faster recovery in suitable cases
- Faster smile restoration
- Reduced treatment time
- Preserves jawbone and gums
- Minimally invasive procedure
- Fewer dental visits
- Natural-looking results
- Improved comfort and confidence
- Support faster recovery in suitable cases
- Using advanced digital technology and precision planning, immediate implants provide faster healing, improved aesthetics, and long-lasting results.
When Does One Need Dental Implants?
Missing teeth can affect anyone at any stage of life due to injury, accidents, severe tooth decay, gum disease, or poor oral hygiene. If left untreated, missing teeth can lead to several oral health and cosmetic problems that may impact your confidence and overall quality of life.
Problems Caused by Missing Teeth
- Difficulty in chewing and eating properly
- Speech problems caused by gaps between teeth
- Shifting or tilting of adjacent teeth
- Jaw pain and improper bite alignment
- Bone loss and facial muscle sagging
- Sunken cheeks and aged facial appearance
- Increased risk of tooth decay and gum disease
- Low self-confidence and hesitation to smile
Dental implants are considered one of the most advanced and long lasting solutions for replacing missing teeth. They restore the appearance, function, and strength of natural teeth while helping maintain healthy jawbone structure and facial aesthetics.
A dental implant is a small titanium screw that is securely placed into the jawbone to replace the root of a missing tooth. Once healed, it supports a natural-looking crown, bridge, or denture for complete smile restoration.
Dental implants generally show high long-term success rates when properly planned and maintained. They are a safe, durable, and highly effective treatment option suitable for most adults with healthy gums and adequate bone support. They provide long-lasting comfort, stability, and confidence for a healthy and beautiful smile.
Difference Between Dental Implants & Bridges
Bridges vs Implants
| Bridges | Implants |
|---|---|
| May compromise nearby natural teeth | Does not compromise adjacent teeth |
| May require replacement if bone loss continues at the missing tooth site | Implant integrates with bone and helps maintain healthy bone |
| Higher risk of plaque, decay, gum disease, and possible root canal treatment | No gaps for bacteria buildup, reducing plaque accumulation |
Advantages of Dental Implants?
- Dental implants replace missing teeth and function similarly to natural teeth.
- Provide a strong, stable, and long-lasting tooth replacement solution.
- Help maintain the natural shape of the face and smile.
- Do not damage or affect adjacent healthy teeth.
- Help preserve healthy jawbone structure and oral health.
- Offer superior comfort, stability, and natural appearance.
- Improve speech clarity without slipping or movement.
- Boost confidence and self-esteem with a complete smile.
- Allow you to eat your favorite foods comfortably without worry.
- Easy to maintain with regular oral hygiene practices.
- Enhance overall chewing efficiency and dental function.
- Highly durable with excellent long-term success rates.
- Safe, biocompatible, and suitable for most adults.
- Provide a long-lasting and aesthetically pleasing tooth replacement solution.
What Is the Procedure of Dental Implants?
Dental implant treatment is performed in multiple stages to ensure strong support, long-lasting results, and a natural-looking smile. At Green Park Dental Hospital, advanced digital dentistry techniques are used to make the procedure safe, comfortable, and minimally painful.
Step 1: Consultation & Treatment Planning
The procedure begins with a detailed dental examination, digital scans, and X-rays to evaluate the jawbone and plan accurate implant placement.
Step 2: Placing the Dental Implant
During the procedure, the area is numbed using local anesthesia to ensure a comfortable and pain-free experience. Sedation options may also be provided for anxious patients.
The dentist carefully prepares the jawbone and places a titanium implant into the bone, where it acts as an artificial tooth root. The implant is positioned precisely using advanced technology for maximum stability and long-term success.
Step 3: Healing & Bone Integration
Over the next few months, the implant naturally fuses with the jawbone through a process called osseointegration. This creates a strong and secure foundation for the replacement tooth.
Step 4: Crown Placement
Once healing is complete, a custom-made dental crown is attached to the implant, restoring the appearance, strength, and function of the missing tooth.
Dental implants provide a natural-looking, durable, and permanent solution for missing teeth while improving confidence, comfort, and oral health.
If you feel any discomfort or need minor changes in the fit or appearance of the dental crown, consult your dentist. Necessary adjustments can be made to ensure maximum comfort and a natural-looking smile.
Types of Dental Implants:
Dental implants are available in different types to suit the unique dental needs of every patient. Depending on the number of missing teeth, jawbone condition, and smile restoration goals, the dentist recommends the most suitable implant treatment for long-lasting results and natural aesthetics.
From single tooth implants to full-mouth dental implants, modern implant dentistry offers advanced solutions that restore chewing ability, speech, facial appearance, and confidence. Specialized implant options such as All-on-4, Basal Implants, Zygomatic Implants, and Immediate Loading Implants provide effective treatment even for patients with low bone density or complete tooth loss.
At Green Park Dental Hospital, advanced digital technology and personalized treatment planning are used to ensure safe, precise, and comfortable implant procedures for every patient.
- Exceptionally thin jaw bone-for example inadequacy of ridge bone thickness
- Inadequate bone height
Single Tooth Implants:
Single tooth implants are an advanced and permanent solution for replacing a missing tooth without affecting neighboring healthy teeth. The treatment involves placing a titanium implant into the jawbone, which acts as an artificial tooth root, followed by a custom-made crown that looks and functions like a natural tooth. Single tooth implants help restore chewing ability, speech, smile aesthetics, and confidence while preventing bone loss in the jaw. They are durable, comfortable, and designed to blend seamlessly with your natural teeth. With proper care and oral hygiene, single tooth implants can provide long-lasting and highly successful results.
All-on-4 Dental Implants:
All-on-4 dental implants are an advanced full-mouth restoration solution designed for patients missing most or all of their teeth. This treatment uses four strategically placed titanium implants to support a complete set of fixed, natural-looking teeth. All-on-4 implants provide excellent stability, improved chewing ability, and enhanced smile aesthetics while reducing the need for multiple implants or bone grafting procedures. The treatment offers faster recovery and immediate smile transformation for many patients. All-on-4 dental implants are a long-lasting, comfortable, and reliable solution that restores confidence, speech, facial appearance, and overall oral function with natural-looking results.
All-on-6 Dental Implants:
All-on-6 dental implants are a premium full-mouth rehabilitation solution that uses six strategically placed titanium implants to support a complete arch of fixed teeth. This advanced treatment provides superior strength, stability, and long-term support for patients with multiple missing teeth or complete tooth loss. All-on-6 implants restore natural chewing ability, speech, facial aesthetics, and smile confidence while offering a comfortable and secure alternative to removable dentures. The additional implant support improves durability and bite force, making it an ideal solution for long-lasting smile restoration. With advanced digital planning and precision techniques, All-on-6 implants deliver natural-looking and highly successful results.
Implant Supported Dentures:
Implant supported dentures are a modern and secure solution for replacing multiple missing teeth using dental implants for added stability and comfort. Unlike traditional removable dentures, these dentures are firmly attached to implants placed in the jawbone, preventing slipping or movement while eating and speaking. Implant supported dentures improve chewing efficiency, speech clarity, facial appearance, and overall confidence. They also help preserve jawbone structure and provide a more natural feel compared to conventional dentures. This treatment is ideal for patients looking for a comfortable, long-lasting, and reliable tooth replacement solution with enhanced function and aesthetics.
Basal Implants
Basal implants are advanced dental implants specially designed for patients with low jawbone density or severe bone loss. These implants are anchored into the strong basal bone, often eliminating the need for bone grafting procedures. Basal implants provide excellent stability, faster healing, and immediate loading options, allowing patients to restore missing teeth quickly and comfortably. They are ideal for full-mouth rehabilitation and complex dental cases where conventional implants may not be suitable. Basal implants offer a durable, safe, and long-lasting solution for restoring chewing ability, facial aesthetics, and smile confidence with highly successful results.
Zygomatic Implants
Zygomatic implants are specialized dental implants designed for patients with severe upper jawbone loss who may not be suitable for conventional implants. Instead of being placed in the jawbone, these implants are anchored into the strong cheekbone (zygoma) to provide maximum stability and support for full-mouth teeth replacement. Zygomatic implants often eliminate the need for extensive bone grafting procedures and offer faster smile restoration with long-lasting results. This advanced treatment improves chewing ability, facial appearance, speech, and confidence while providing a secure and permanent solution for complex dental implant cases.
Pterygoid Implants
Pterygoid implants are advanced dental implants placed in the back portion of the upper jaw to support fixed teeth in patients with severe bone loss. These implants are anchored into the strong pterygoid bone, providing excellent stability without the need for sinus lift or extensive bone grafting procedures. Pterygoid implants are commonly used in full-mouth rehabilitation treatments and help restore missing teeth with improved strength, comfort, and function. This advanced implant solution offers faster treatment, long-lasting support, natural-looking results, and enhanced chewing ability for patients seeking a permanent smile restoration option.
Full Mouth Dental Implants
Full mouth dental implants are a complete smile restoration solution for patients who have lost most or all of their teeth. This advanced treatment replaces missing teeth with a full set of fixed, natural-looking teeth supported by dental implants. Full mouth implants restore chewing ability, speech clarity, facial aesthetics, and overall confidence while providing superior comfort and stability compared to traditional dentures. The implants help preserve jawbone structure and prevent facial sagging caused by tooth loss. With advanced digital implant technology and precision planning, full mouth dental implants offer a long-lasting, secure, and life-changing solution for a healthy and confident smile.
Dental Implant Cost in Hyderabad
At Green Park Dental Hospital, patients receive high-quality dental implant treatments using advanced technology, genuine implant systems, and personalized care at affordable pricing. Flexible EMI and payment options are also available to make smile restoration more convenient and accessible.
Immediate Loading Implants
Bone Grafting
Bone grafting is a procedure used to rebuild or strengthen jawbone structure before dental implant placement. It improves implant stability and helps patients with bone loss become suitable candidates for implants.
Sinus Lift
A sinus lift is an advanced procedure that increases bone height in the upper jaw for successful implant placement. It creates a strong foundation for implants in patients with insufficient bone near the sinus area.
CBCT Guided Implant Surgery
CBCT guided implant surgery uses advanced 3D digital imaging technology for highly accurate and safe implant placement. This precision-guided approach improves treatment planning, reduces complications, and enhances implant success rates.
Ridge Modification
Ridge modification is a specialized procedure used to rebuild and strengthen damaged or deficient jawbone areas before dental implant placement. At Green Park Dental Hospital, advanced bone regeneration techniques are used to improve jawbone structure, enhance appearance, and create a stable foundation for successful dental implants.
3D IMAGING
At Green Park Dental Hospital, advanced 3D imaging technology helps dentists view a highly detailed 3D model of the jawbone and teeth for accurate implant planning. This modern digital technology improves precision, reduces treatment time, and ensures safer, faster, and more successful dental implant procedures.
Post-Operative Instructions for Dental Implants
Follow these simple care tips after dental implant treatment for faster healing and successful recovery:
- Avoid touching, rinsing, or spitting near the implant area for the first 24 hours
- Mild bleeding or swelling is normal after the procedure
- Apply an ice pack on the cheek to reduce swelling during the first 24–36 hours
- Eat soft foods and drink plenty of fluids during the healing period
- Avoid hot foods, alcohol, smoking, and using straw
- Take prescribed medications and pain relief as advised by your dentist
- Maintain good oral hygiene and use the recommended mouth rinse regularly
- Brush gently around the implant area to support healing
- Keep healing abutments clean for proper recovery and implant stability
- Contact your dentist immediately if you experience unusual pain or prolonged bleeding
-
Proper post-operative care helps ensure quicker healing, better comfort, and long-lasting dental implant success.
Post Implant Care
Proper oral care is essential to maintain healthy dental implants and ensure long-lasting results. Follow these simple care tips for a healthy and confident smile:
- Brush twice daily using a soft-bristled toothbrush
- Replace your toothbrush every 3 months
- Brush gently to protect gums and implants
- Floss daily to remove plaque and food particles
- Use an antibacterial mouth rinse regularly
- Avoid very sticky or hard foods
- Maintain good oral hygiene to improve implant longevity
- Eat a healthy diet for stronger teeth and gums
- Avoid smoking and excessive alcohol consumption
- Visit your dentist regularly for professional check-ups and cleaning
Good oral hygiene and regular dental care can help your dental implants stay strong, healthy, and beautiful for many years.
Frequently Asked Questions (FAQs)
Q.1. Are dental implants painful?
Q.2. How long do dental implants last?
Q.3. Who can get dental implants?
Q.4. How long does the implant procedure take?
Q.5. Are dental implants safe?
Q.6. Can dental implants replace multiple missing teeth?
Q.7. How do I care for dental implants?
Q.8. What is the success rate of dental implants?
Q.9. Can smokers get dental implants?
Q.10. What foods should I avoid after implant surgery?
With access to
24 Hour
Emergency
Assistance
A small river named Duden flows by their place and supplies it with the necessary regavelialia. It is a paradise.
Service Recipient Says
Oxmox advised her not to do so, because there were thousands of bad Commas, wild Question Marks and devious.
Kolis Muller NY Citizen
Oxmox advised her not to do so, because there were thousands of bad Commas, wild Question Marks and devious.
Kolis Muller NY Citizen
Oxmox advised her not to do so, because there were thousands of bad Commas, wild Question Marks and devious.
Kolis Muller NY Citizen